Man Develops 'Headspin Hole' After Decades of Breakdancing

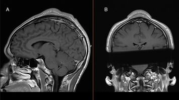
A Danish case report highlights a peculiar injury arising from breakdancing's iconic headspin—a "headspin hole." After decades of practicing headspins, a man developed a painful scalpel tumor in his early 30s, which had become sore and was associated with a circle of hair loss. The growth, referred to as a "breakdance bulge," resulted from repeated friction and pressure between the scalp and floor during practice, escalating into thickened tissue and a noticeable lump. This is prepared by SSP.
During surgery, the lump was successfully removed, alleviating the man's discomfort and enabling him to socialize mask-free without hiding under hats. Although this condition is informally known among breakers and on platforms like Reddit, where practitioners discuss bald spots and share protective tips such as using padded beanies, it's scarcely documented medically.
This instance underscores the broader risks associated with breakdancing—a sport now featured in the 2024 Paris Olympics—where the physical toll includes carpal tunnel syndrome and overuse injuries like headspin holes. Research suggests that frequent headspins (three or more times per week) may drastically increase hair loss and the possibility of developing these bumps due to continuous trauma or conditions like traction alopecia. Despite these discussions, medical literature on headspin losses spot prevalence in b-boys and b-girls.



















